Le blanchiment
Sur une dent ou pour tout votre sourire, il est aujourd'hui possible d'influencer la teinte de l'émail qui recouvre toutes vos dents naturelles.


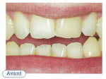
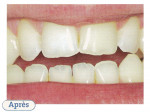
Les résultats

avant - Crédit photos Axarisaprès - Crédit photos Axaris
L'expertise des chirurgiiens-dentistes en matière de blanchiment permet de traiter la quasi-totalité des cas de figure avec un résultat tel que montré sur les photos ci-contre.


Les techniques

avant - Crédit photos Axarisaprès - Crédit photos Axaris
Il existe de nombreux procédés pour influencer la teinte de votre émail, votre chirurgien-dentiste saura faire le bon diagnostic et vous proposer le procédé adapté à votre cas personnel:au cabinet ou chez vous, suivant la spécificité de votre bouche.


Les précautions

Seul votre chirurgien-dentiste peut assurer le blanchiment dans des conditions de sécurité professionnelles, impératives pour votre santé, votre confort et votre esthétique.


Indépendentaire Editeur - Tous droits réservés
Cabinet dentaire mode d'emploi
Vous nous avez fait le plaisir de confier votre santé bucco-dentaire à notre cabinet et nous sommes sensibles à la confiance que vous nous témoignez ainsi. Pour nous permettre de vous garantir un service irréprochable, nous vous proposons de nous accorder sur quelques règles simples et réciproques.

La communication

Exprimez sans hésiter vos attentes, vos satisfactions, vos demandes, vos insatisfactions, vos exigences, même les plus délicates. Notre secret professionnel et notre écoute vous sont tout acquis pour assurer un diagnostic adapté et un traitement efficace de votre cas clinique.


La ponctualité

Nous vous assurons la ponctualité de nos rendez-vous. Cependant, une activité médicale est toujours susceptible de s'adapter aux urgences et aux imprévus. Aidez-nous à limiter ces désagréments en arrivant à l'heure exacte ou en prévenant de vos annulations et de vos retards le plus vite possible.


L'observance

Pour profiter pleinement de votre sourire et maintenir votre bouche en bonne santé, respectez nos conseils de prévention et recommandations d'hygiène bucco-dentaire à pratiquer chez vous. Vous vous donnerez ainsi toutes les chances de conserver longtemps vos dents saines et d'assurer le maintien en parfait état des soins réalisés.


C'est dans le respect mutuel que nous souhaitons vous accompagner vers une santé bucco-dentaire pleinement satisfaisante: respect des engagements de ponctualité, des conseils de prévention, de l'écoute, respect de votre douleur, de vos peurs et interrogations... N'hésitez pas à nous faire part de tout manquement de notre fait à cet engagement.

Notre vocation

Vous assurer une bouche en parfaite santé, le bien être d'un sourire esthétique, une absence totale de douleur, un confort de mastication... tout au long de votre vie.

Le budget

Notre cabinet est conventionné. Nous vous assurons donc de profiter pleinement des conditions de remboursement de votre assurance sociale et de votre mutuelle. Cependant, certains actes n'étant pas ou peu pris en charge, nous réaliserons au préalable un devis pour tous les travaux qui demanderont une participation financière de votre part.


Entente financière

Nous pouvons définir avec vous des conditions de règlement adaptées à vos contraintes financières, au montant du plan de traitement et à la durée des soins. Le respect de cette entente nous permettra de garantir de notre côté le respect des délais grâce à la mise à disposition d'un plateau technique sophistiqué et des technologies les plus avancées.

La douleur

Les techniques d'anesthésie les plus efficaces disponibles aujourd'hui permettent à notre cabinet de vous assurer des soins dans le plus parfait respect de votre sensibilité à la douleur en réduisant au minimum les éventuel désagréments engendrés par les soins et leurs suites.
N'hésitez pas à nous informer de tout manquement à cet engagement essentiel dans notre pratique quotidienne.

L'administratif

Nous assurons la prise en charge complète des incontournables procédures administratives liées aux soins. N'oubliez pas de vous munir de votre carte Sésam Vitale, de vos contrats d'assurances complémentaires et de nous interroger en cas d'incompréhension.


Les conditions de remboursement de la sécurité sociale ne tiennent aucun compte des énormes progrès que la science et la technologie mettent à la disposition de l'Art Dentaire depuis plus de vingt ans. C'est pourquoi nous nous permettrons de vous informer au préalable chaque fois que votre cas clinique impose des actes peu ou pas remboursés.